10

Oct-2024

Clinical study of patients with liver abscess at a tertiary care center

09

Apr-2022

Post Auricular Dermoid Cyst: A Rare Occurrence

05

May-2022

Traumatic Abdominal Wall Hernia: A Unique Causation

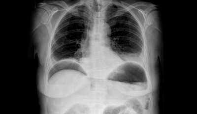
08

Mar-2022

Subdiaphragmatic Abscess: Complication of Emergency Laparotomy